之前和大家介紹過「暴牙的原因」,也說明過「暴牙種類」,最後就來聊聊暴牙矯正方式

暴牙治療方式最基本的概念是要取得後退的空間,想像一下,當嘴的部分如果太往前突出,而我們想將它往後拉,這時候就必須思考該從什麼地方得到空間。而往後退也不是無窮無盡(相信我,如果可以我也是很想幫病人多退一些!但要給我空間啊!)

泰勒絲暴牙矯正前後外觀對比
改完暴牙的天后泰勒絲,也太美了吧!

暴牙能退多少?先了解矯正與正顎手術的牙齒移動極限

先看一下後退的極限。下面這張圖是矯正聖經中牙齒移動的極限:綠色部分就是指單純用矯正方式來移動前牙的量;最大範圍的黃色區域,就是使用正顎手術可以移動的極限。

所以可以看到,矯正方式的上排門牙內收最大量為 7 mm,下排則是 3 mm。想必令大家非常意外,數量原來那麼小,因為這邊是指整體的移動,不包含角度傾斜的調整。

上下顎門牙可移動範圍極限示意圖

另一個很重要的觀念是,上排後退的量有時取決在下排門牙的位置。因為上下牙齒必須能夠有切斷食物的功能,所以上面想要後退的時候,如果下排門牙沒有後退,只會發生咬合干擾或相撞的問題。這就是為什麼常常病人只想拔上排的牙齒,而往往下排也必須相對要拔牙去配合上排移動的關係。

暴牙矯正治療方式

暴牙的治療方式如下:

1. 拔牙矯正

拔牙矯正就是最常聽到的,拔除小臼齒以獲取前牙後退的空間。

拔除小臼齒提供的空間能有效改善前牙突出。研究顯示,拔除兩顆小臼齒能提供約5-7mm的前牙後退空間。而拔除上下四顆小臼齒的案例,則可提供約10-14mm的總體內收空間(Janson et al., 2021)。

此外,若醫師未正確判斷暴牙發生位置,可能導致過度拔牙,最終引起下臉部凹陷或下巴過度後縮的副作用(Lee et al., 2019)。

  • Janson G, Sathler R, Fernandes TMF, Branco NCC. (2021). Management of Class II Malocclusion with Extractions. Seminars in Orthodontics, 27(1):56-65.
  • Lee YH, Park YC, Yu HS. (2019). Comparison of treatment effects between four premolar extraction and non-extraction treatment in patients with skeletal Class II malocclusion. American Journal of Orthodontics and Dentofacial Orthopedics, 155(2):213-221.

特別要注意的是!暴牙案例矯正醫師必須謹慎判別暴牙的發生是上排還是下排。當上排牙齒暴必須要取上排的空間;反之,下排暴當然就要取下排的空間。因此在鑑別暴牙種類時醫師要十分小心。

很多時候其實只有上排暴下排並不暴,但卻因沒有正確診斷而拔取上下四顆小臼齒,矯正到最後會發現當上排後退收進來時,下巴會感覺後縮或不足。

所以總結一下:

  • 單純上排暴牙的案例(上排前牙飛並與下排前牙水平距離差距大):可拔除上排兩顆小臼齒治療
  • 上下排都暴的案例:較常見的治療方式會拔除上下四顆小臼齒來進行治療

2. 利用牙弓後方空間後退

此治療方式大家比較不熟悉。簡單來說,牙弓後方空間大家可以想像成智齒生長的位置,這個區域也是一個可以利用來讓牙齒後縮的空間。

利用智齒空間進行前牙後退的治療(如上顎tuberosity及下顎retromolar area)在矯正臨床研究中逐漸受到重視。

一篇來自韓國的研究指出,在使用骨釘支撐下,智齒區域空間的利用可以增加約3-4mm的前牙後退距離,且可避免拔除前面健康牙齒(Choi et al., 2018)。

  • Choi YJ, Chung CJ, Choy K, Kim KH. (2018). Clinical applications of miniscrews in orthodontics for maximum anchorage. Korean Journal of Orthodontics, 48(5): 262-272.

3. 磨取每顆牙齒之間的接觸區,以獲得牙齒後縮空間

總而言之,一定要有空間才能做到牙齒後縮的動作,才能舒緩暴牙的”暴”。

牙齒鄰接區的牙釉質研磨(Interproximal Reduction, IPR)可提供0.2-0.5mm每側牙縫空間,對於輕微暴牙改善效果顯著,並可減少拔牙需求。該技術經過數十年臨床證實為安全且有效(Zachrisson et al., 2011)。

補充一下反面的說法(同一位作者的研究):Zachrisson(2011)的長期研究雖然支持適量的IPR安全,但也提到若過量磨牙(超過建議的0.5mm),可能會使牙齒琺瑯質薄化,並提高未來牙齒斷裂或牙齦萎縮的風險。尤其年輕患者,牙齒使用年限較長,更應謹慎評估磨牙量。

  • Zachrisson BU, Minster L, Øgaard B, Birkhed D. (2011). “Dental health assessed more than 10 years after interproximal enamel reduction of mandibular anterior teeth.” American Journal of Orthodontics and Dentofacial Orthopedics, 139(4): 482-490.

4. 牙弓型態改變與寬度調整

還有一種大家比較少注意到的暴牙矯正方式是:

  • 牙弓型態改變:像是有些患者牙弓形狀原為V型,但排成理想的U型牙弓後,前牙的最尖點會有一個回拉的量,這也是一種得到空間的方式。
  • 牙弓寬度改變:當窄小牙弓經過擴大後,整體牙弓的空間會增加,這個增加就可以達到回拉的效果。

這跟上面提到的磨取牙齒接觸區的方式其實有些類似,只是一個是透過牙體型態的改變,另一個是牙弓型態的改變來獲得空間。

牙弓型態及寬度調整是改善暴牙的另一重要方法。研究顯示,透過牙弓從V型改成U型,前牙突出可改善1.5-3mm。此外,增加牙弓寬度後,可提供約2-4mm的內收空間,這對輕度暴牙患者尤其有效(Fleming et al., 2017)。

  • Fleming PS, Johal A, Pandis N. (2017). The effectiveness of orthodontic treatment for improving facial aesthetics. Cochrane Database of Systematic Reviews, 2017(4): CD003452.

5. 正顎手術治療骨性暴牙

個人認為正顎手術是嚴重骨暴的最優解。骨性暴牙在亞洲人群中特別普遍,一項台灣的大規模研究指出,正顎手術能有效將上下顎相對位置調整達7-10mm,有效改善臉型美觀及咬合功能,但需謹慎評估病患接受手術的意願與風險(Hsu et al., 2020)。

近年來因搭配骨釘的改善效果越來越好,所以拒絕手術的病人,往往願意選擇較長的治療時間(五年以上很常見)合併多隻骨釘來改善骨暴。

  • Hsu PJ, Denadai R, Lo LJ. (2020). Surgical-orthodontic correction of skeletal Class II malocclusion: An outcome study. Plastic and Reconstructive Surgery Global Open, 8(7): e2987.

上述所有治療方式其實是可以綜合使用的,例如利用智齒空間搭配磨牙、也可以改變牙弓型態加上拔除小臼齒一併獲得空間。下面將使用案例跟大家解釋治療方法!

暴牙矯正案例分享

1. 單純齒性暴牙

case 1 – 門牙角度飛

這個案例主要是利用上排智齒空間,讓上排牙齒由後往前依序後退(sequential distalization退法)來達成前牙收進來的效果。

比較特別的是,如果使用傳統矯正方式治療(如:金屬矯正器、陶瓷矯正器)這種案例是必須加入四支骨釘(錨定裝置Temporary Anchorage Device, TAD)或拔四顆小臼齒才能達到這樣的調整效果。

齒性暴牙矯正前後照片,利用拔智齒空間讓前牙內收,臉型線條明顯變順

case 2 – 假骨性真齒性

這個案例的上排牙弓形狀為V型,並且上門牙往前飛(前牙角度飛)造成上下前牙切端的水平距離(overjet)大,患者嘴唇無法自然閉合,而下排牙齒被卡在後方。

矯正過程中利用擴弓(expansion)方式將上排前牙排齊收攏,使牙弓形狀改善為U型。當上排牙齒收進來後,下巴也得以滑出,因此口內咬合關係達到ClassI理想咬位。而由側臉輪廓可見,不僅嘴唇與下巴位置改變,原本下巴有一塊肉也一併獲得改善。

假骨性真齒性暴牙矯正前,上顎突出嘴唇無法自然閉合,透過擴弓矯正後改善咬合關係,下巴明顯前移

2. 骨性+齒性上顎暴

這個案例是骨性及齒性結合的上顎暴,因此A點(A point : Position of deepest concavity on anterior profile of maxilla上顎骨前側最深凹陷的位置)很前面。這種情況通常必須伴隨上排牙齒的拔牙治療,利用拔牙空間讓上排牙齒大量後退內縮,來改善上下前牙切端水平覆蓋量(overjet)大的問題。

從側輪廓可見,原本嘴唇尖尖翹翹(俗稱為鳥嘴)無法自然閉合的情況,因為上前牙的內收而獲得改善,矯正後輪廓線顯得平順。

上顎骨性+齒性暴牙,透過拔牙矯正大量後退內縮,改善暴牙與嘴唇突出,臉部輪廓更平順

3. 單純骨性+一點點齒性

這個案例為單純骨性暴牙,上排前牙的角度看起來蠻平的只有微微飛,這種案例看似簡單但其實帶有隱藏的難度。

因為角度明顯飛的牙齒,只需要將牙冠角度調整拉直(Tipping)就可以收進來,牙根不需要有太多的移動。但角度微微飛的牙齒是需要牙冠及牙根一併平移收進來,因此需要更細緻的力學設計,想不到吧!

骨性伴隨輕微齒性暴牙,上排前牙角度微微向前飛,透過隱適美細緻的力學設計將牙冠與牙根一併平移收進來,臉型變自然柔和

4. 骨性齒性都有

這兩個案例為骨性暴、齒性暴都有。治療方式為典型的拔牙治療(拔四顆小臼齒並將牙齒後退收攏)。仔細觀察這兩個案例可以發現,在療程結束後下巴有一個好看的逆時針旋轉,因此下巴變得更加明顯且立體。

會產生這個神祕的逆時鐘旋轉,其實是矯正過程中不僅僅是將牙齒排齊,也連帶將臉部垂直高度一併調整,才會出現這樣的效果!這樣的療程通常非常耗時,治療時間可能需要4-5年,也必須搭配骨釘一起使用,算是困難度很高的療程!

骨性+齒性暴牙透過拔牙與骨釘矯正前後對比,下巴逆時針旋轉變得更加明顯且立體 骨性+齒性暴牙透過拔牙與骨釘矯正前後對比,下巴逆時針旋轉變得更加明顯且立體

5. 骨性下顎太少,會覺得上面暴牙

接下來分享小下巴案例。小下巴的治療會使用到隱適美特殊牙套MA(Mandibular Advancement 下顎前導),這是隱適美針對小下巴及下巴後縮所開發的系列。

這種案例其實就是假性暴牙,醫師診斷時需要特別注意,骨性下顎很容易造成視覺上的誤導——因為下巴很短,容易讓人以為上顎很暴!醫師必須很小心地拿捏上排牙齒後退量,而治療重點應該要放在促進下顎的發育。不過由於治療與骨頭的生長有關,治療時間相對會比較長。

小下巴假性暴牙案例,透過隱適美MA下顎前導矯正後改善下巴後縮與暴牙,臉型比例更和諧

6. 正顎手術(Orthognathic Surgery, OGS)

真正的骨性暴代表A點很前面,也就是A點與B點之間的差距很大。針對這種案例,真正的改法是利用正顎手術把A點往後移,或伴隨B點往前移,才能解決根本問題。

但是很多患者無法接受正顎手術,所以才會衍伸出拔牙或加多支骨釘,以達成大量的移動。這就是骨性暴牙真正的難處。

這類病人常常來到診間時都會反應上面門牙很骨、下巴太小。上面的部分也許還可以利用拔牙加骨釘來取代手術,但如果希望下巴整體長度往前移動的話,就真的必須搭配手術,才會有良好的效果。

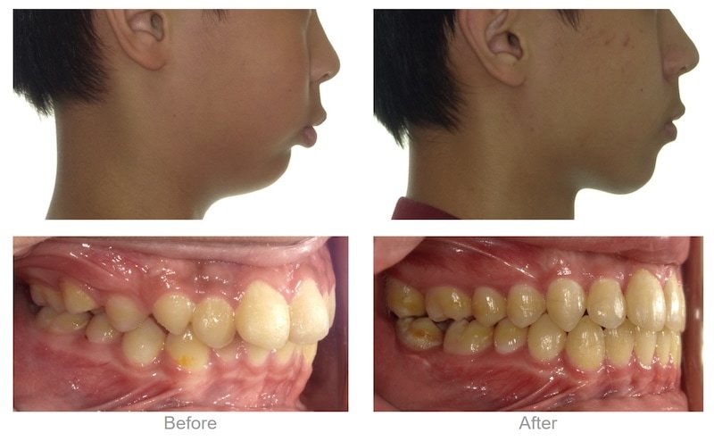
我選取了一篇需要正顎手術的案例讓大家了解一下。像下圖這種顏面的變化是必須透過手術,才能達到這種“換臉”的效果。我身為矯正醫師,通常會希望病人能搭配口腔外科醫師,或者是懂得咬合的整形外科醫師,才能達到外觀以及口內咬合同時改善的目標。

嚴重骨性暴牙患者採正顎手術前後對比,改善前牙突出與下巴後縮問題,臉型整體更立體自然

正顎手術案例照片引用來源:

  • Li GF, Zhang CX, Wen J, Huang ZW, Li H. Orthodontic-surgical treatment of an Angle Class II malocclusion patient with mandibular hypoplasia and missing maxillary first molars: A case report. World J Clin Cases 2022; 10(33): 12278 – 12288. PMID: 36483832 DOI: 12998/wjcc.v10.i33.12278

插入一個題外話:通常經歷正顎手術的病人,會因為容貌在一個月內變化劇烈,所以在手術後三個月內,有時會發生無法確認本體或自信心低落的狀況。有點像是看鏡子卻不認識自己的感覺。這個狀況在三個月後才會慢慢恢復,而達到滿意的狀態。

這和為期3到5年的矯正治療不同,因為矯正是用長時間來逐步達到外觀的變化,所以不會發生這種心理落差。反而是當遇到許久未見的朋友時,才會被稱讚「變好看很多」。

備註:療程效果因個人狀況而有所差異,請諮詢專業醫師為您制定合適的療程。