美國矯正專科醫師

葉信吟醫師

美國齒顎矯正專科醫師國家考試認證 (ABO)
美國齒顎矯正學會會員 (AAO)
美國印第安納大學(IU)齒顎矯正專科碩士
高雄醫學大學牙醫學士

矯正專長

  • 青少年矯正
  • 成人矯正
  • 隱形矯正
  • 顱顏發展

緣分的起點

葉信吟醫師
Dr. 葉:

我與念珊醫師相遇在就讀高雄醫學大學四年級的矯正課。念珊醫師是矯正科的助教,指導我們臨床印模型和彎矯正線等等(已經約16年前的事)。印象中念珊醫師很親切且充滿熱誠,班上同學都很喜歡她!想不到有機會再次與學姐相遇,緣分真是奇妙(笑)

楊念珊醫師
Dr. 珊:

我當時帶過大學部三年的實驗課,對信吟醫師有印象~是個成績很好的乖寶寶學妹。一直希望我們的矯正團隊可以更成長茁壯!很開心有這個機緣,邀請信吟醫師加入我們的大家庭!以後大家來診所,就可以見到溫柔專業的信吟醫師囉!

牙齒矯正案例分享

Case 1. 前牙微亂(微矯正)

  • 主訴:改善前牙整齊度
  • 治療方式:以改善前牙為主,因此後牙咬合不需大量移動。使用隱適美Lite輕方案,將前牙凌亂的部分改善為圓滑的U型牙弓。

Case 2. 上前牙凸

  • 主訴:上排牙齒角度飛、右下犬齒凸出
  • 治療方式:由於沒有外觀上大量後退內收的需求,利用上排少量後退及少量擴牙的方式,將上前牙角度拉直且收攏下排凸出的犬齒。

Case 3. 牙齒擁擠(不拔牙矯正)

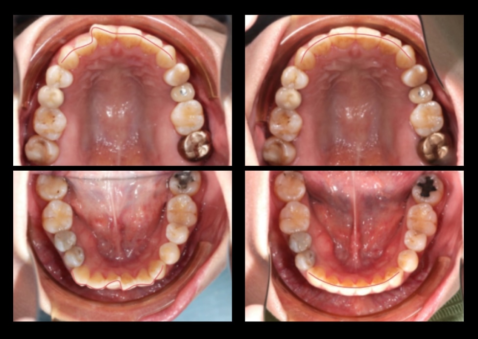
  • 主訴:改善牙齒擁擠但不拔牙
  • 治療方式:由於患者為男性且鼻子挺、又有下巴,沒有美觀線(輪廓線)內收的需求,因此利用上排後牙依序往後退(sequential distalization)及較大量的擴弓(expansion)來創造出左上側門牙及高犬齒的排齊空間。

case 4. 牙齒凌亂(拔牙矯正)

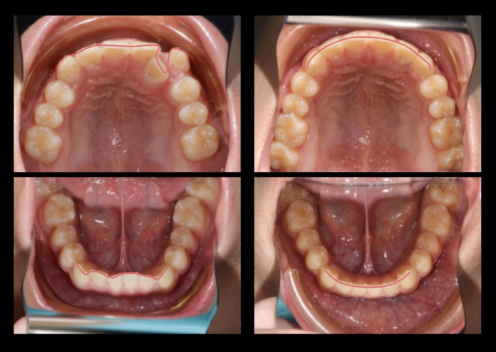
  • 主訴:牙齒凌亂度高、上排高犬齒、上下排牙齒中線未對齊、右下第二小臼齒舌側偏移
  • 治療方式:拔除上下四顆小臼齒,利用小臼齒的空間將牙齒排整齊,並且修正上下中線偏移以達到對稱效果。

Case 5. 嘴唇凸 + 門牙形狀修正(拔牙矯正)

  • 主訴:改善嘴凸、牙齒凌亂,修整門牙形狀
  • 治療方式:拔除上下四顆小臼齒,將前牙依序後退至小臼齒的空間,以達到牙齒排齊並且輪廓線收攏的效果;將上排兩顆大門牙的扇形形狀,修整為略帶圓弧的長方形,讓牙齒比例更加協調。

備註:官網所示案例僅用於衛教說明,療程效果因個人狀況而有所差異,請預約諮詢由專業醫師為您制定合適的療程。